RNA SuperFast 动物细胞总RNA提取试剂盒(DP450)
超快速动物细胞总RNA提取试剂盒
未备注医疗备案号的产品均未获得医疗器械注册证,不可用于临床诊断或治疗,仅可用于工业或者科研领域非医疗目的用途。
产品规格
| 目录号 | 规格 | 目录价 | 说明书 |
| DP450 | 100次 | 1280 |
产品简介
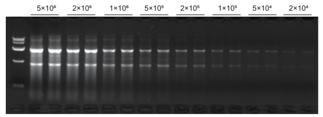
本产品为超快速柱法动物细胞RNA提取试剂盒,全程最短仅需5 min。单次可提取102到5×106个细胞的RNA。试剂盒基于硅胶膜纯化技术,搭配独特的裂解结合Buffer,无需额外结合步骤,一步上柱,得到的Total RNA产量高、完整度高、纯度高、无蛋白和其它杂质污染,可直接用于RT-PCR、qRT-PCR、Northern Blot、Dot Blot、体外翻译和高通量测序等分子生物学实验。
产品组成
| 产品组成 | DP450(100 preps) |
| 裂解液CRL(Buffer CRL) | 60 ml |
| 漂洗液RW(Buffer RW) | 2×12 ml |
| 无RNA酶双蒸水(RNase-Free ddH₂O) | 30 ml |
|
RNase-Free吸附柱CR4(含2 ml收集管) (RNase-Free Columns CR4 set) |
100 套 |
产品特点
简单快速:5min快速提取,操作简单一步上柱。
适用广泛:兼容不同细胞类型,适合悬浮细胞、贴壁细胞和原代细胞等。
原位直提: 96/24孔板培养的贴壁细胞可直接裂解提取,免胰酶消化、短期保存,细胞在原位(孔板内)即可完成处理,流程一步直达。
细胞上样广泛:单次可提取102到5×106个细胞的RNA。
安全无毒:提取过程中无需使用β-巯基乙醇和酚/氯仿等有毒有害试剂。
保存条件
该试剂盒所有组分置于室温(15-30℃)干燥条件下保存。若溶液产生沉淀,可在37℃水浴中孵育10 min以溶解沉淀,不影响使用效果。
实验结果
相关文档下载

